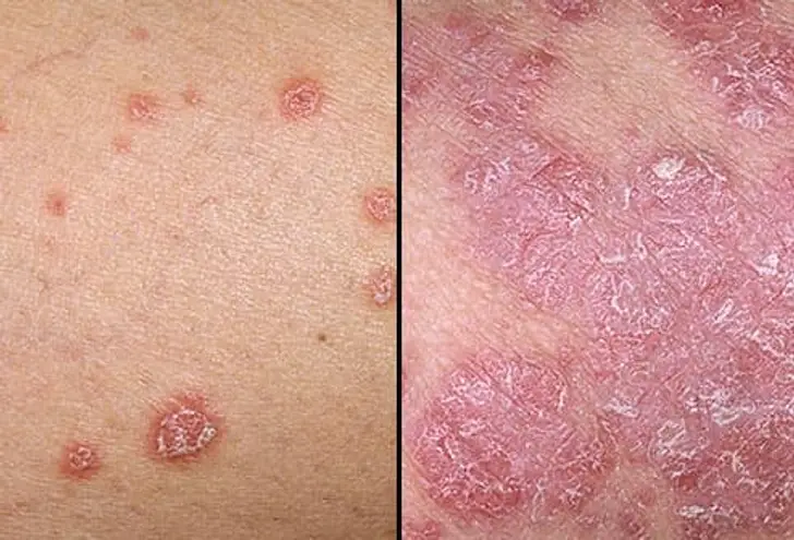
Cure for Psoriasis and all skin Diseases
Watch Vaidyaraj Anil’s Detailed Video PSORIASIS & ALL SKIN DISEASES (Hindi)
Watch Vaidyaraj Anil’s Detailed Video PSORIASIS & ALL SKIN DISEASES (English)
Harness the Gut-Skin-Axis with our well researched 100% Herbal Approach
Say No To Allopathy Medicines !!
Vaidyaraj Anil’s Well Researched Solution for Psoriasis-Heal from Within
Our Herbal Approach focuses on correcting internal root cause, which is our ‘GUT’
GBA Drops helps to cure Psoriasis by:
- Naturally balancing Gut Mircobiome
- Improves elimination of toxins
- Reduces gut-related inflammation
- Repairs Leaky Gut
- Enhances nutrient absorption
Say No To Allopathy ✧ 100% herbal solution ✧ Gut is the key
Vaidyaraj Anil’s GBA Drops are FSSAI licensed as herbal nutraceuticals and are made with the ficus benghalensis, myrobalan & piper cubeba, with no live bacteria, no added preservatives and hence no side effects. The Mother Tincture it is made from is certified to neutralize toughest of superbugs, which no man-made chemical based medicine is able to do in today’s time.
This Fundamental Discovery makes it possible for the GBA Drops to naturally select and de-select the bugs, without the super-imposition of Billions of External bacteria done in ‘Probiotics’. It’s effectiveness can be proved by the improved ‘Poop Type’, as per the Bristol
Stool Chart. A balanced Gut Microbiome repairs the damaged gut lining which reduces body & skin inflammation.
Our Gel & Liquid extract (Mahayog) is 100% Herbal, made from the same Mother Tincture. We advise the Gel for application on Body Psoriasis, Eczema, Acne, Rosacea; for any kind of lesions on the body. The Liquid extract is advised in cases of Scalp Psoriasis, Nail or Palmoplantar Psoriasis and Seborrheic Dermatitis.
Only in severe Cases of Psoriasis, we also advice our Healthy100 capsules also called Liver Capsules containing 8 pure Herbs, which help to improve the Gut & Liver Functioning by flushing out the toxins through our stool & urine.
Our ‘Start-Stop-Restart-Repeat’ Startegy is that our GBA Drops & application work in a way that it also brings out the toxins from within through our skin, so you may find that the psoriasis or any skin disease is aggravating, if the lesions are increasing that means it would have appeared over the body in the Future (Note- Aggravation is Not In Every Case, the lesions may start healing from the word ‘Go’ ). At times of aggravation, we can take break from the GBA Drops & application for few days and then restart again and so on. The Healthy100 capsules flush out the toxins only through our stool & urine; so it helps in relief and can be taken when taking break from drops & application.
100% Cure for Psoriasis & all skin diseases
GBA Drops
GBA Drops are made from Ficus Benghalensis, Myrobalan & Piper Cubeba
Improves digestion, stool patterns, repairs gut lining, and reduces body & skin inflammation.
100% Herbal | No Steroids | No Side Effects
Liquid extract
Liquid Extract (Mahayog) is made using parts of Banyan Tree for use in :-
Scalp Psoriasis, Nail Psoriasis, Seborrheic Dermatitis, Allopecia and Herpes by supporting skin and Scalp health naturally.
100% Herbal | No Steroids | No Side Effects
Only for external application.
Herbal gel
Herbal Gel is made using parts of Banyan Tree
For Body Psoriasis, fungal infections such as Ringworm, Adult Acne, and Eczema. It helps heal patches and reduces flaking, itching, and redness.
100% Herbal | No Steroids | No Side Effects
Only for external application.
Psoriatic Arthritis
- Past medical history
- Long-term medication use
- Lifestyle habits
- Diet and digestion
- Environmental and stress-related factors
- Sparrow capsules
- Brownie (also known as Guggul Vati)
- Healthy 100 capsules
- Support bone health
- Help manage joint stiffness and discomfort
- Improve overall body strength and resilience

- Past medical history
- Long-term medication use
- Lifestyle habits
- Diet and digestion
- Environmental and stress-related factors
- Sparrow capsules
- Brownie (also known as Guggul Vati)
- Healthy 100 capsules
- Support bone health
- Help manage joint stiffness and discomfort
- Improve overall body strength and resilience
Results Speak
Read Our Featured Articles
ONLY ONLINE CONSULTATION
We are based in Delhi and we only provide Online Consultation. Why? As our set of 100% Herbal Medicines, with no side effects are for curing any kind of Skin Ailment whether it is Psoriasis, Eczema, Seborrheic Dermatitis, Acne, etc. At the end you need to understand the root cause of the ailment & that is our ‘Gut’ and the ‘Gut Microbiome’.
In our consultation, we focus on guiding individuals through a 100% Herbal Approach. Most important is to make the individual aware of our well researched and effective herbal medicines; the importance of our Gut & Gut Microbiome. We guide individuals to taper off allopathy medicines and give additional advise of classical ayurvedic medications which can be taken at times of Fever, Cough & Congestion. We guide individuals to improve their Lifestyle, sleep patterns & encourage not to follow any Strict Diet Restrictions – Drastic Change in the diet causes further weakness in the body. Small changes make big differences in the long term.
Book a Consultation
The Bioefficacy Test Certificates
Click Here to read more about on vaidyarajanil.com
The Mother Tincture used to formulate GBA Drops is a certified, all-natural Superbug Buster.


